Brow Lift
Before & After Gallery

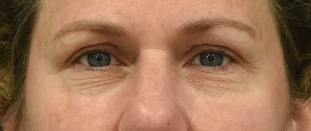
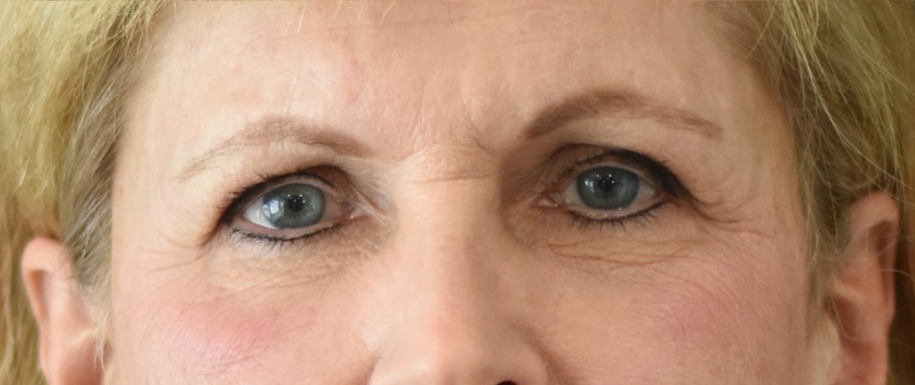
BEFORE

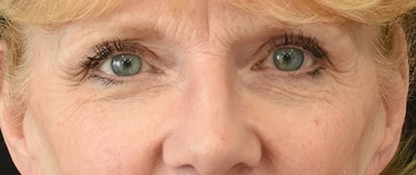
AFTER
VIEW PATIENT DETAIL

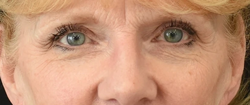
BEFORE

AFTER
VIEW PATIENT DETAIL

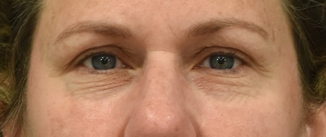
BEFORE

AFTER
VIEW PATIENT DETAIL

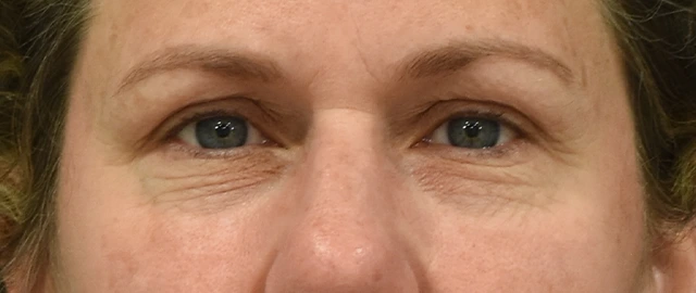
BEFORE

AFTER
VIEW PATIENT DETAIL

BEFORE

AFTER
VIEW PATIENT DETAIL
BEFORE
AFTER
VIEW PATIENT DETAIL

BEFORE

AFTER
VIEW PATIENT DETAIL
BEFORE
AFTER
VIEW PATIENT DETAIL

BEFORE

AFTER
VIEW PATIENT DETAIL

BEFORE

AFTER
VIEW PATIENT DETAIL

BEFORE

AFTER
VIEW PATIENT DETAIL

BEFORE

AFTER
VIEW PATIENT DETAIL